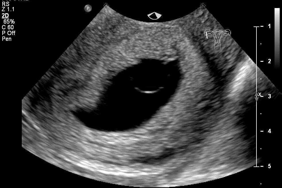
Признаки угрозы выкидыша на раннем сроке