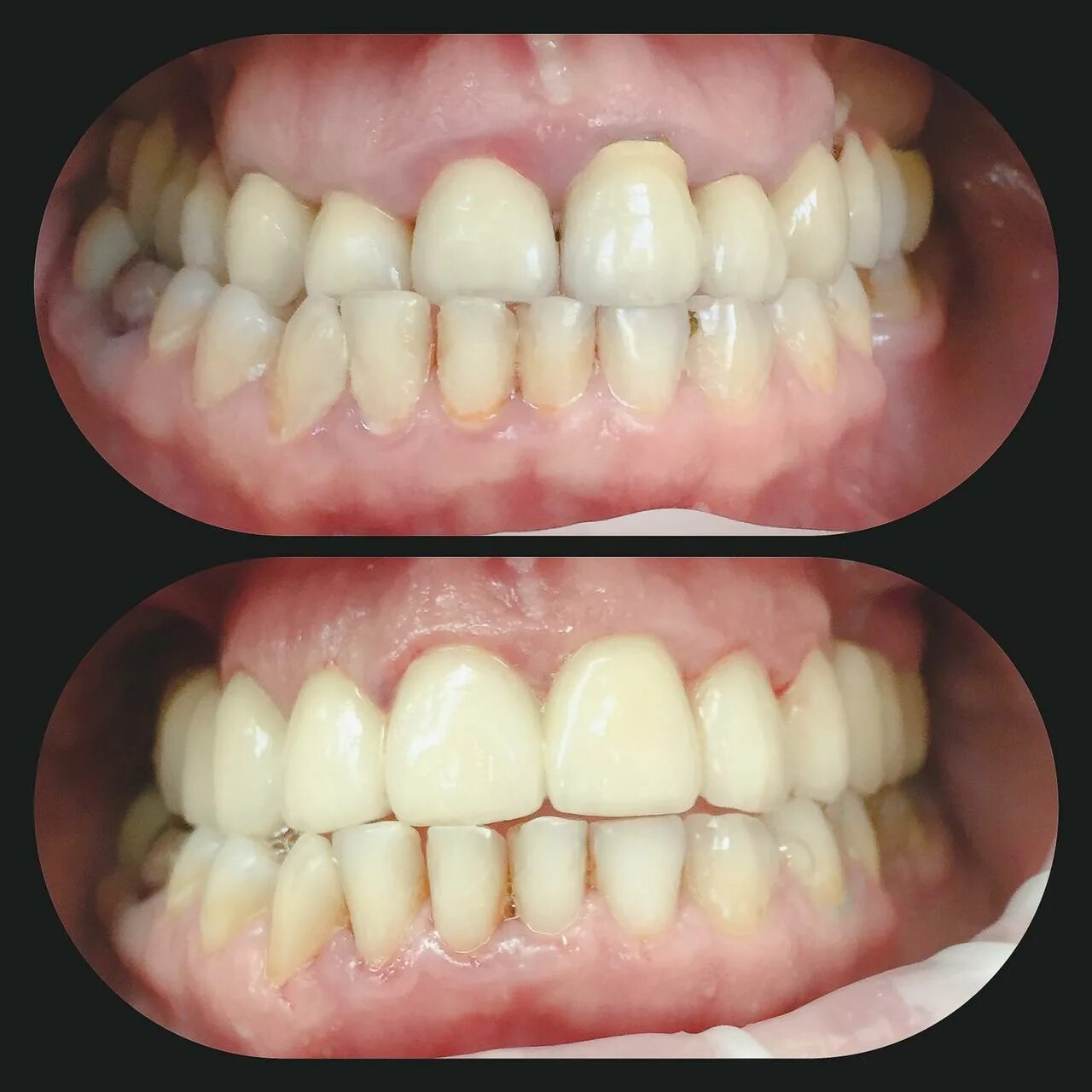
Протезирование в белоруссии