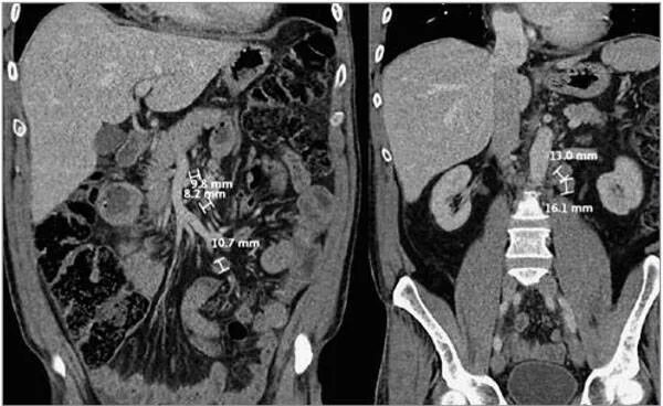
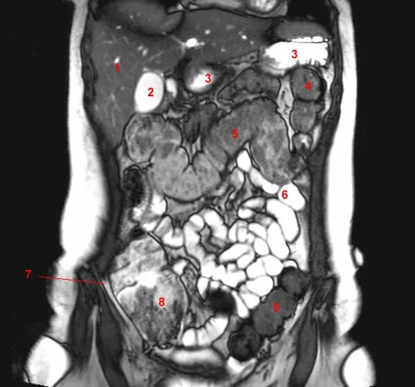
Рак брюшных лимфоузлов