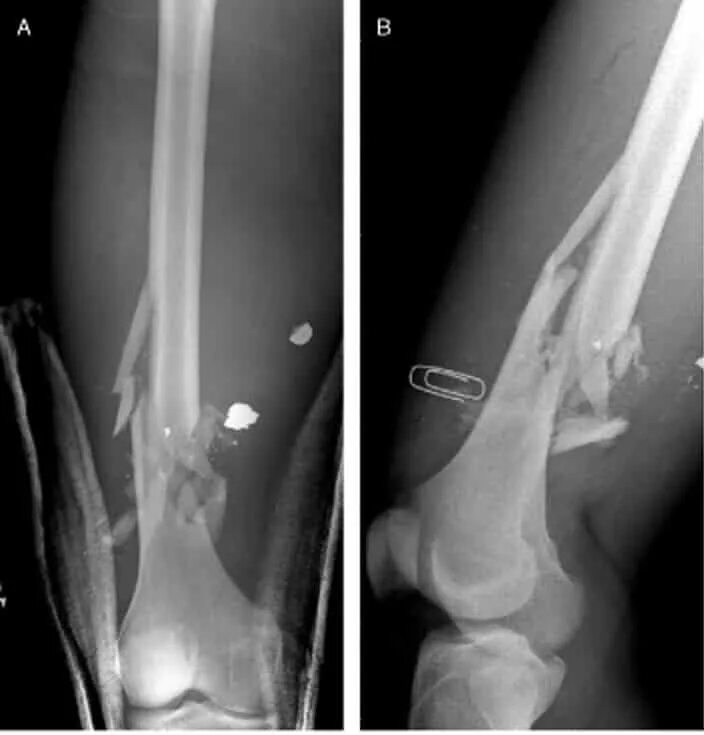
Разрушение мягких тканей