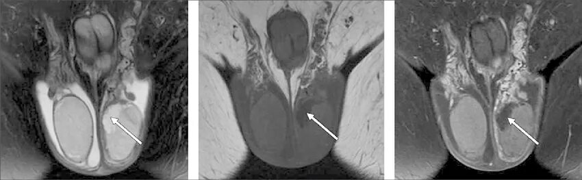
Разрыв половых органов