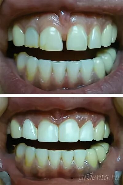
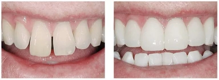
Щель передние зубы