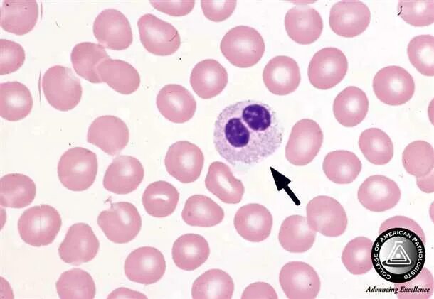
Сегментоядерные 20