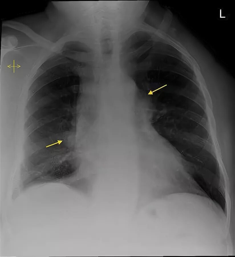
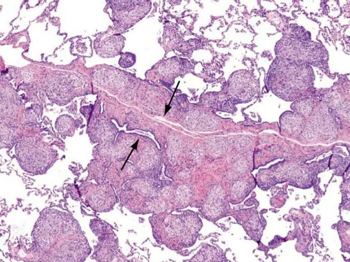
Синдром лефгрена