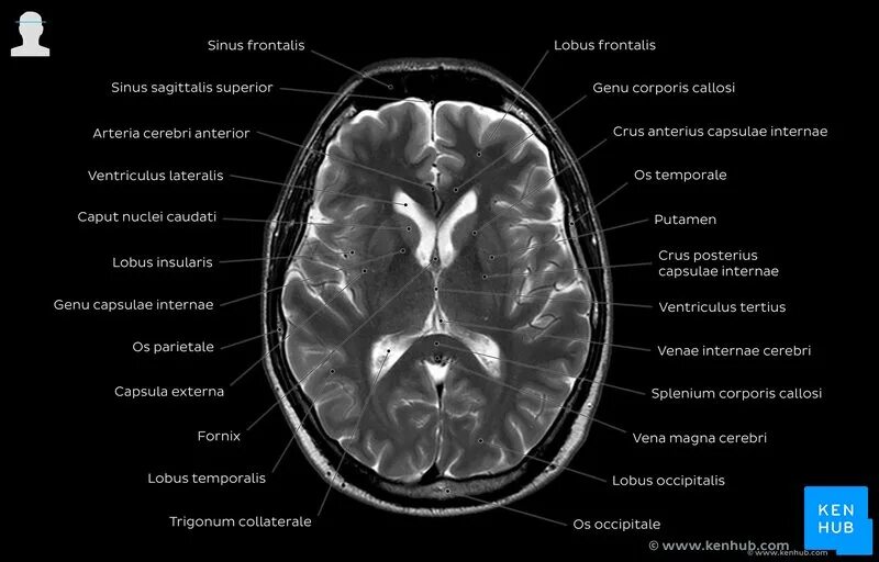
Sinus sagittalis superior