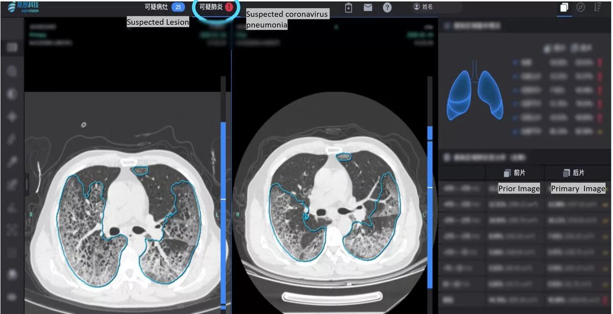
Сканирование легких