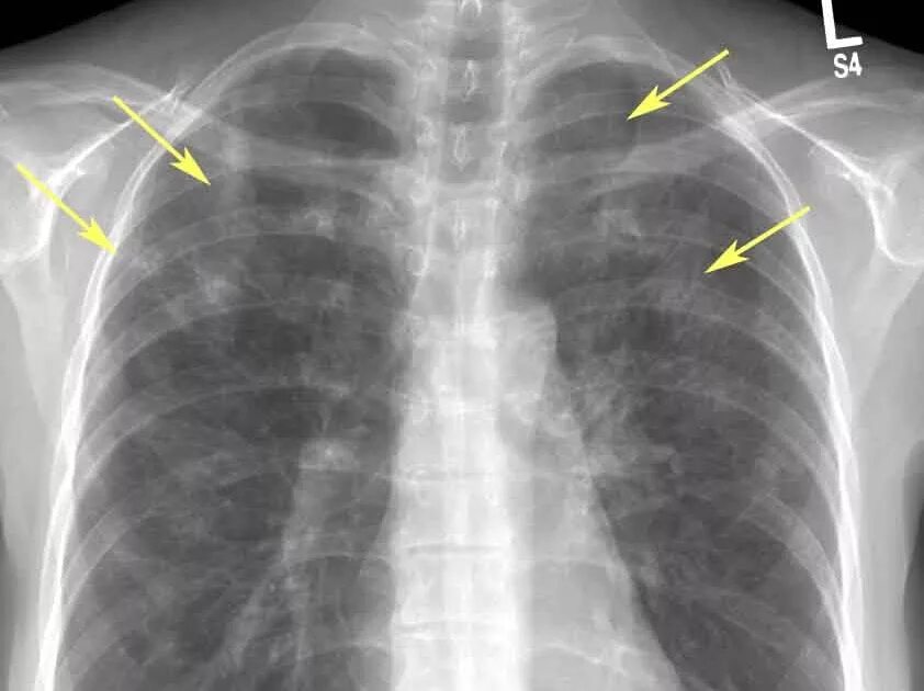
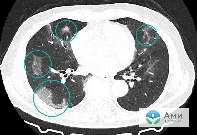
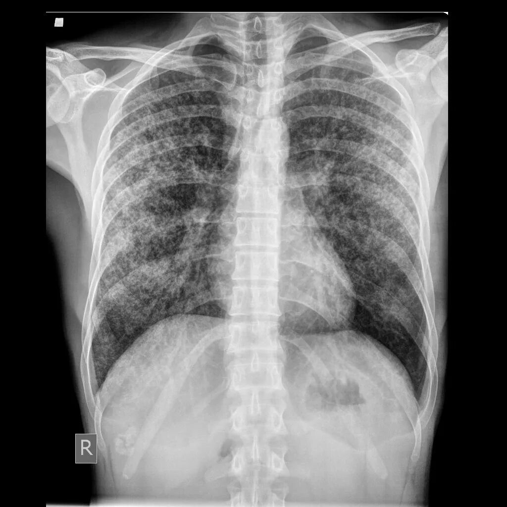
Скате легких