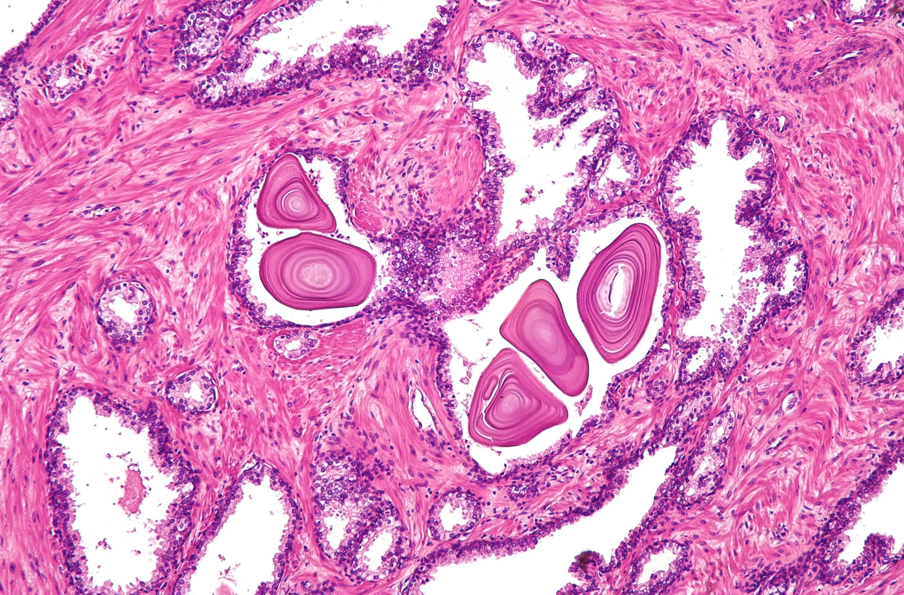
Склероз предстательной