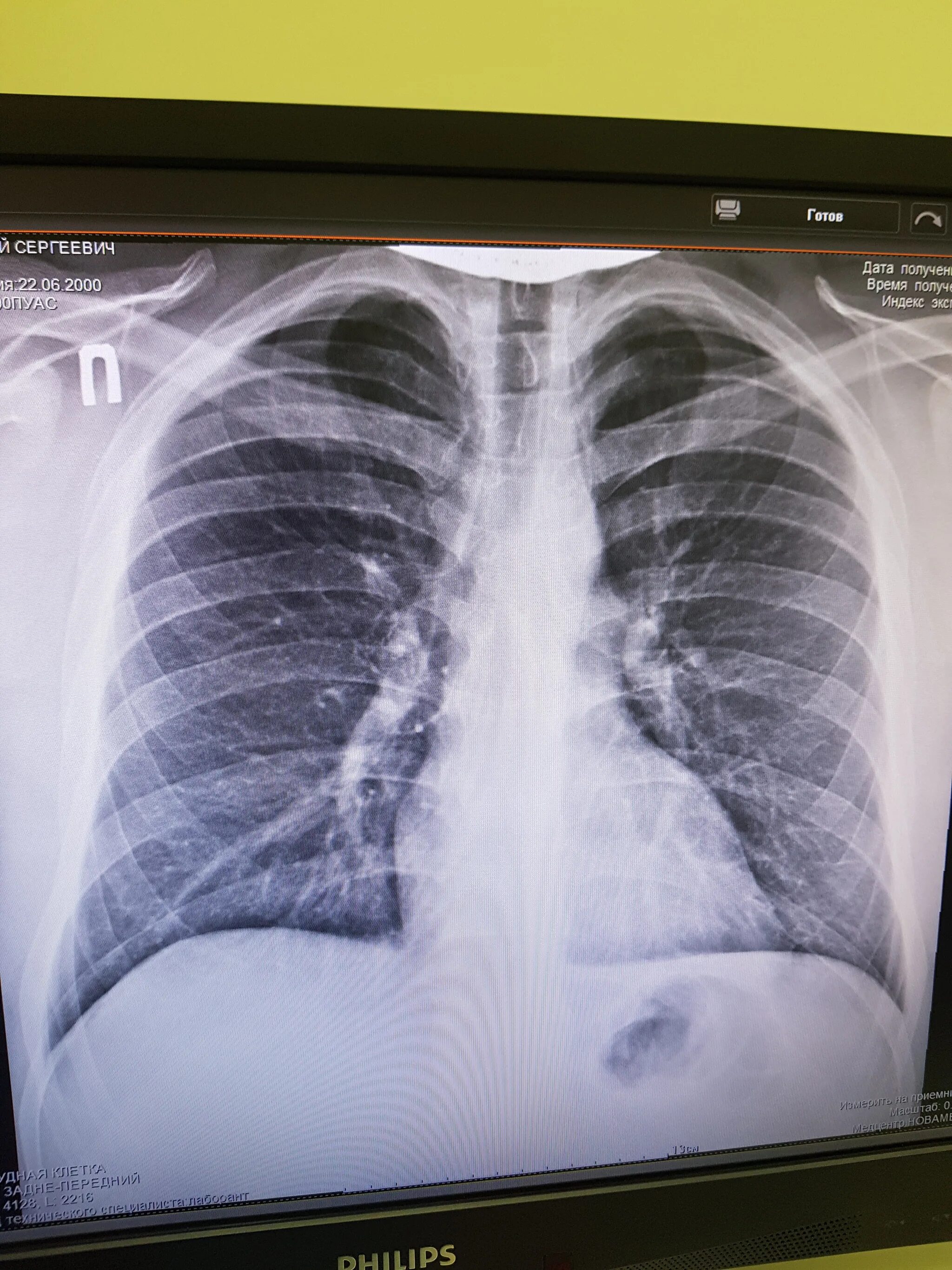
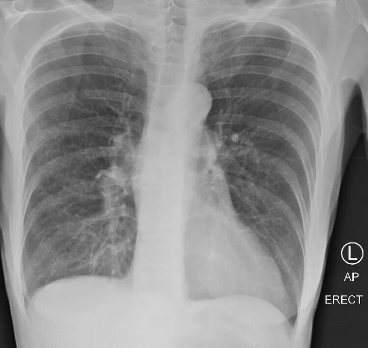
Снимок курильщика