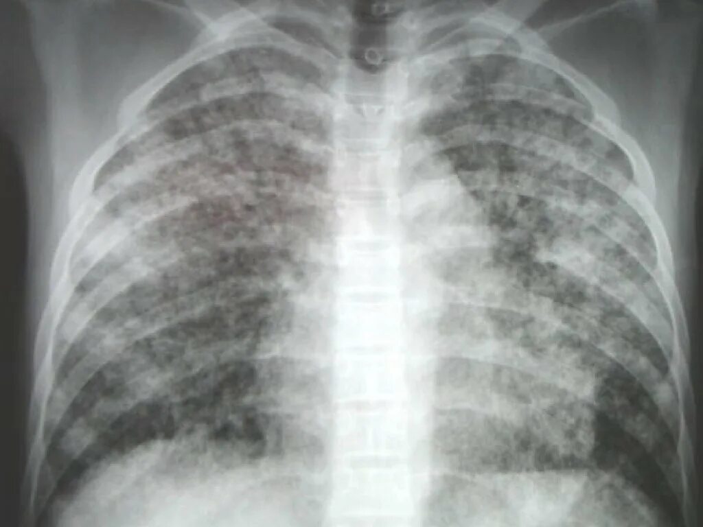
Снимок курящих легких