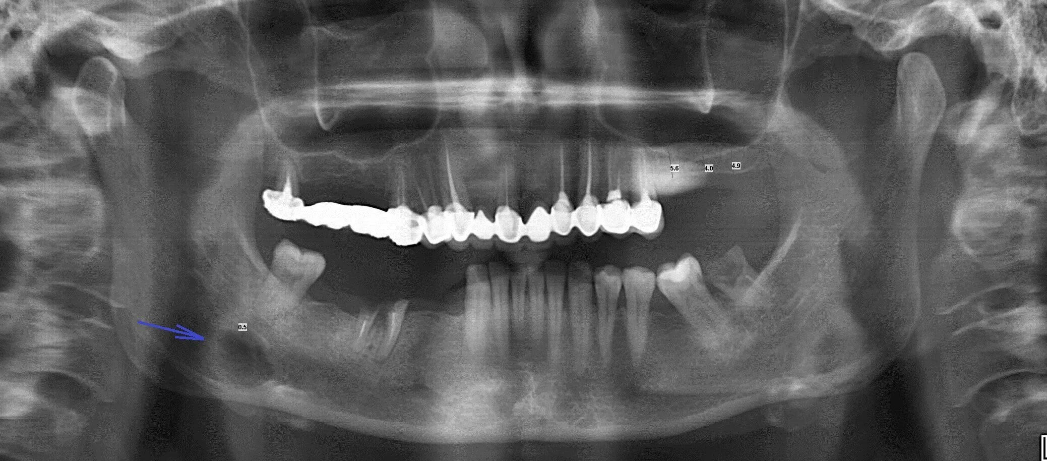
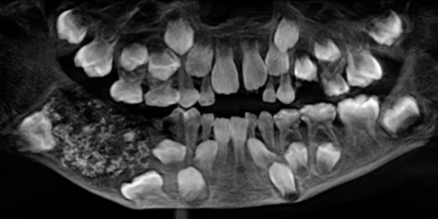
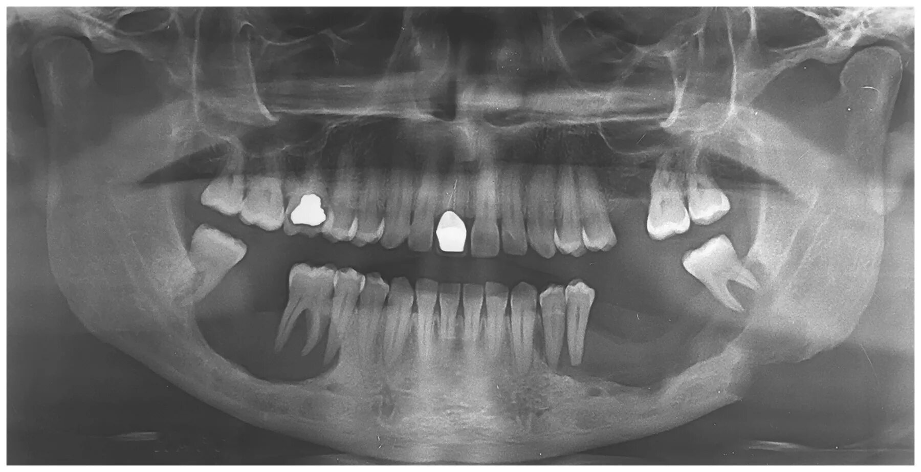
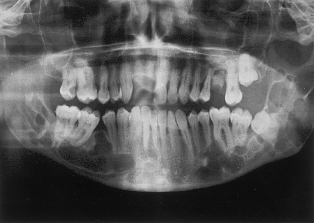
Снимок ротовой полости