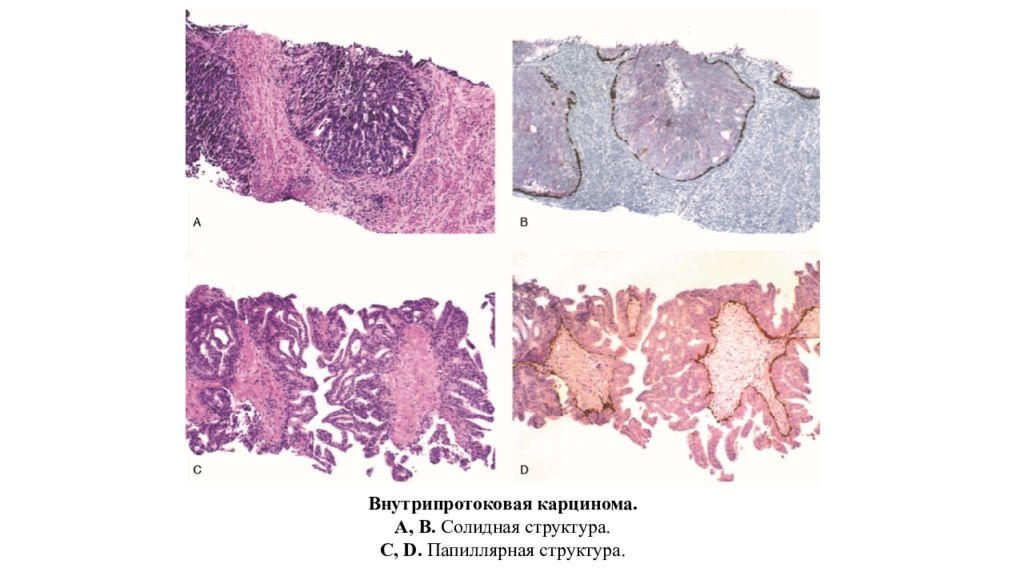
Солидная структура