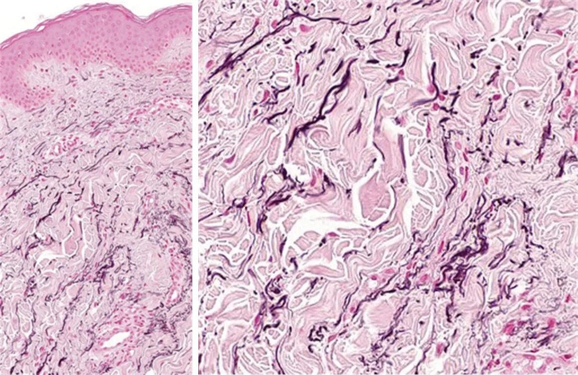
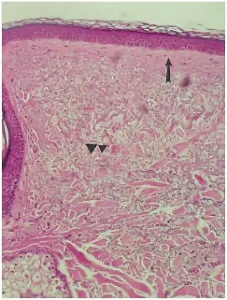
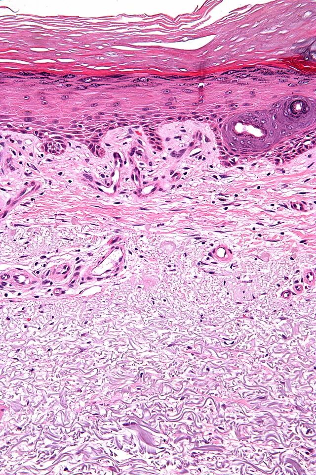
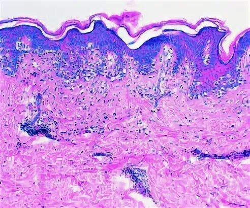
Солнечный эластоз