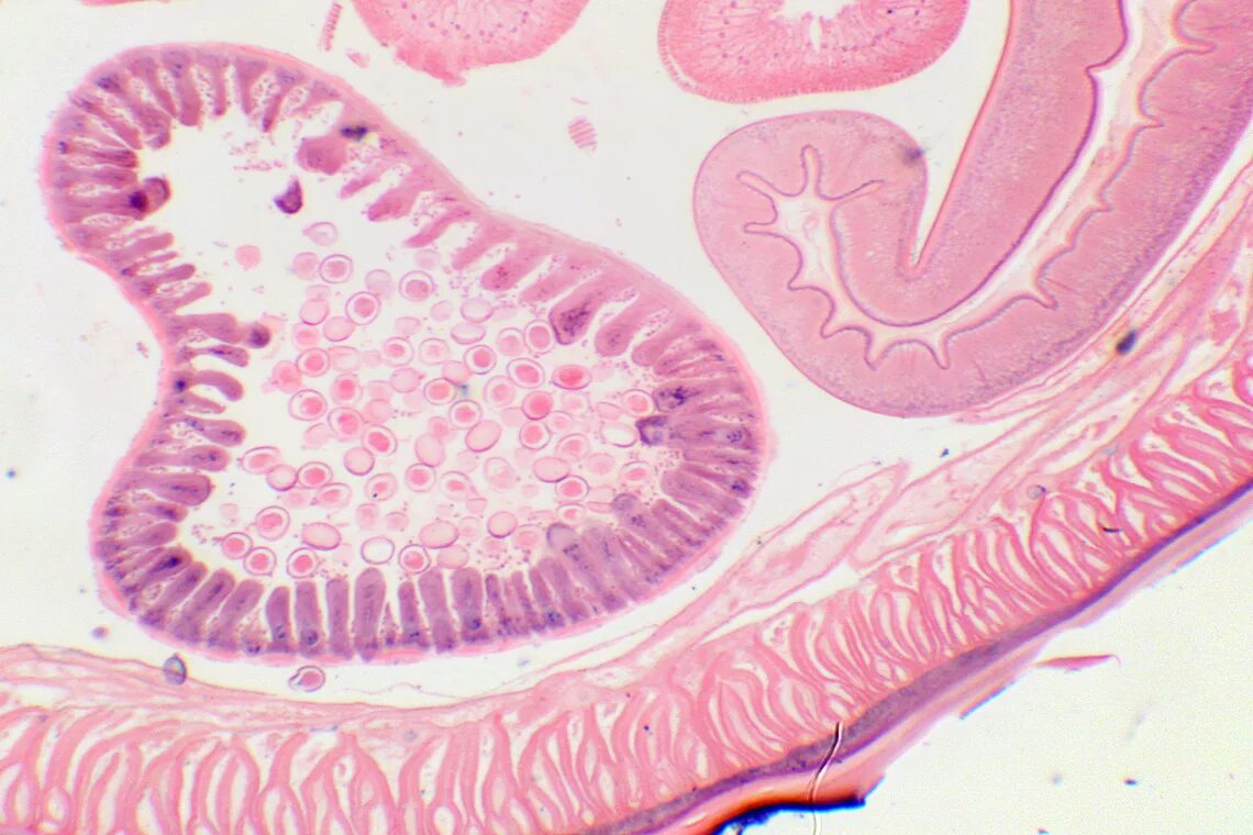
Срез червя под микроскопом