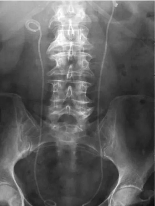
Стенд поставили в мочеточнике