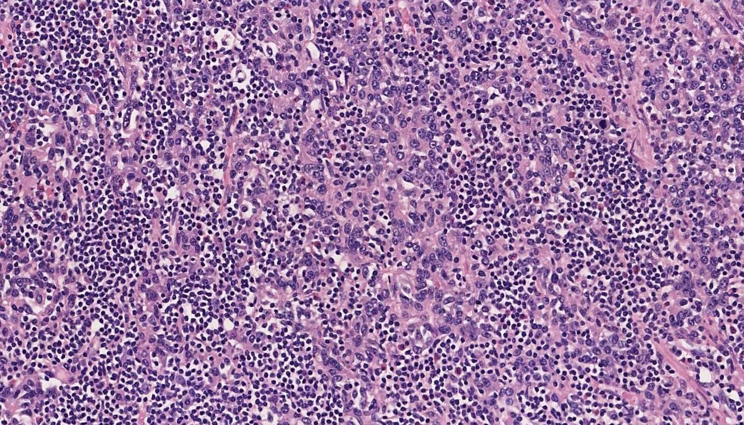
Типы лимфомы