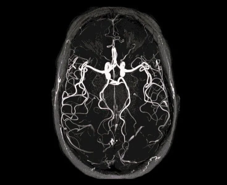
Томография сосудов головного мозга