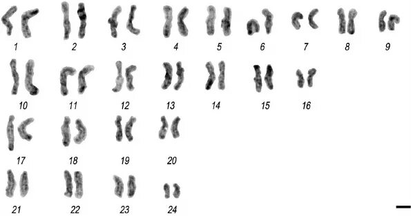
У кого 48 хромосом