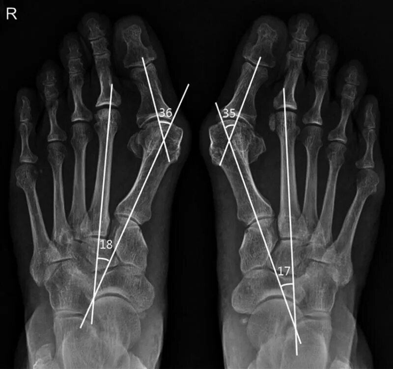
Угол пальца