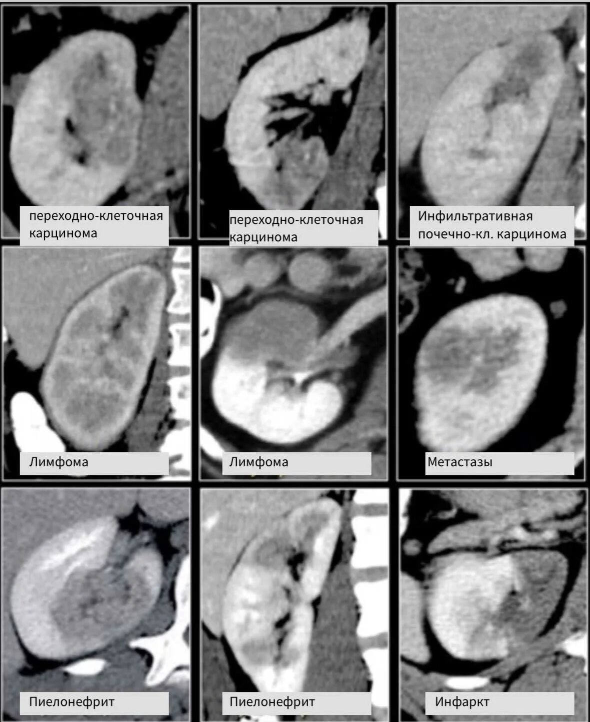
Узловых солидных образований