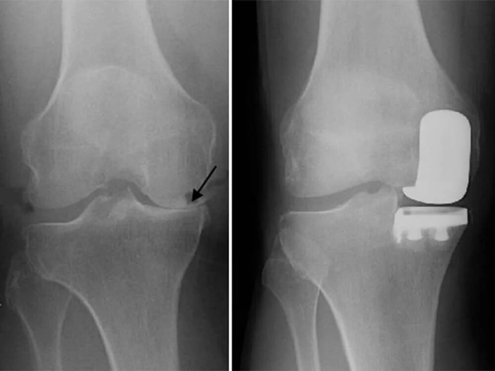
В каком случае меняют сустав