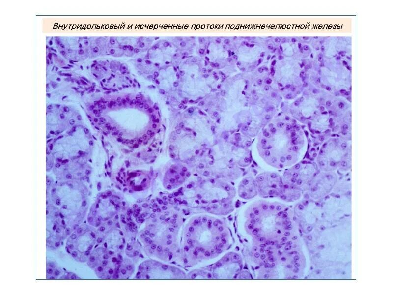
Ветеринарная гистология