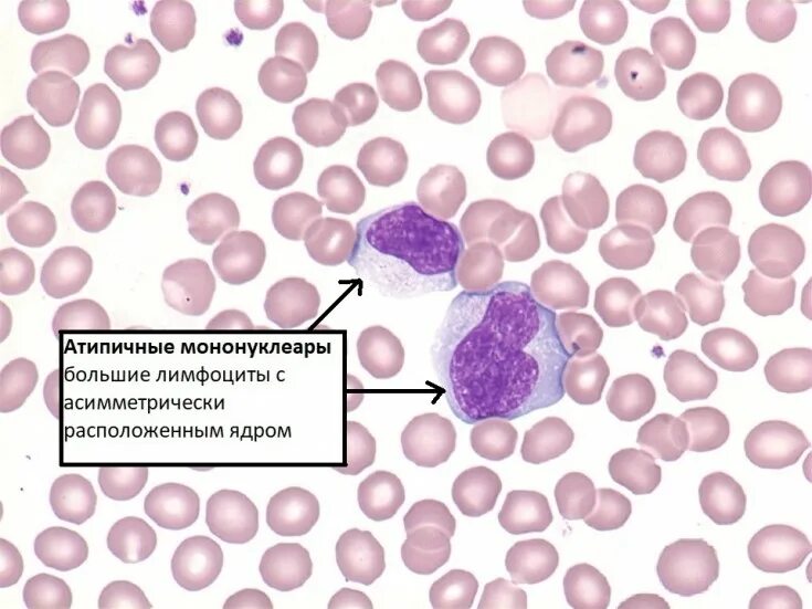
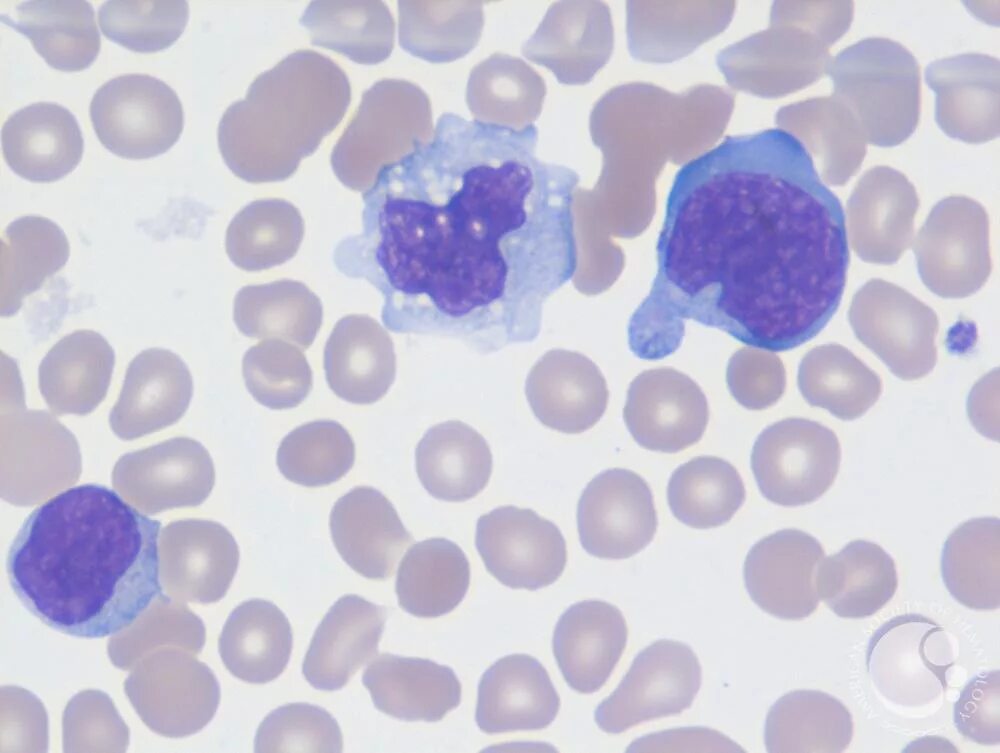
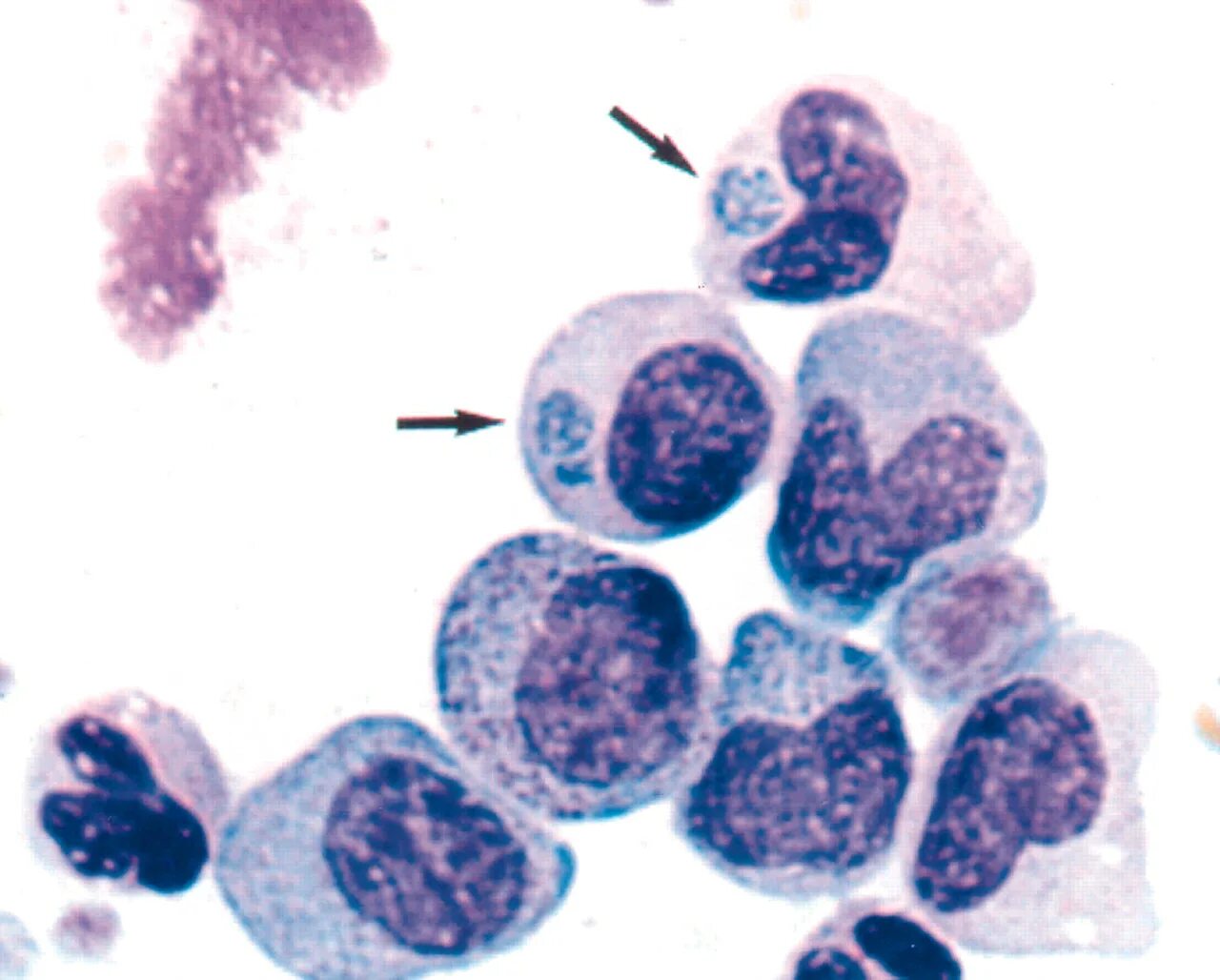
Вирус барра мазок