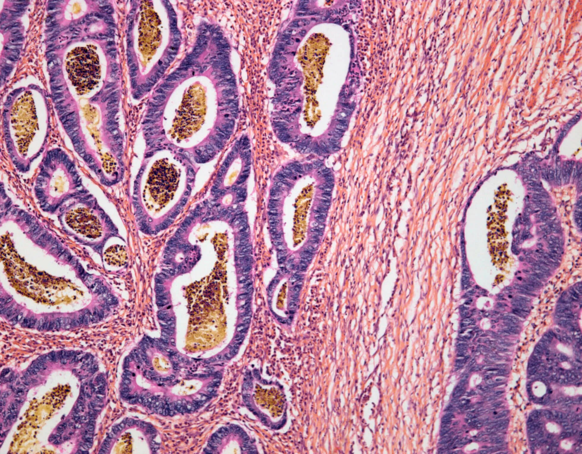
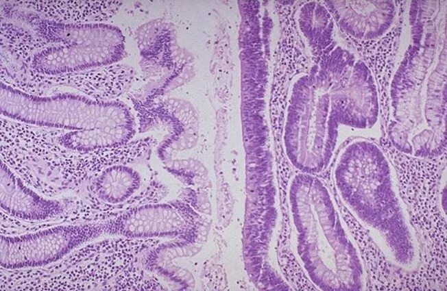
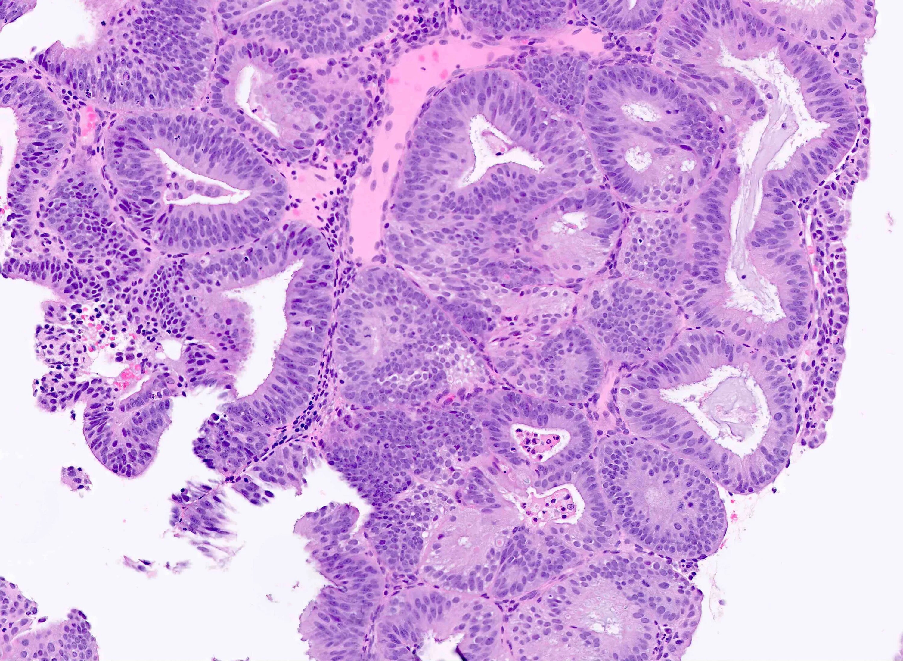
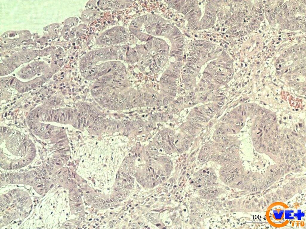
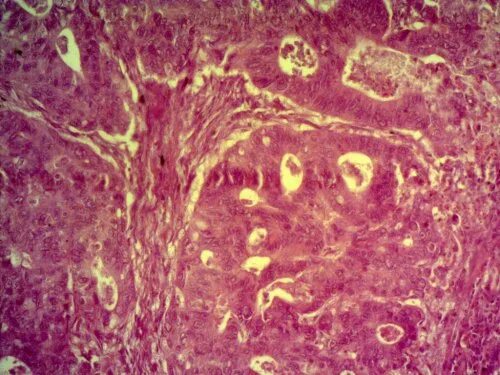
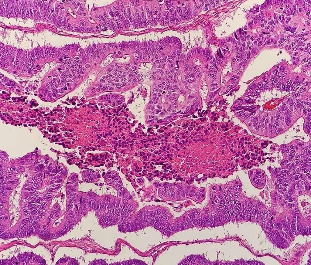
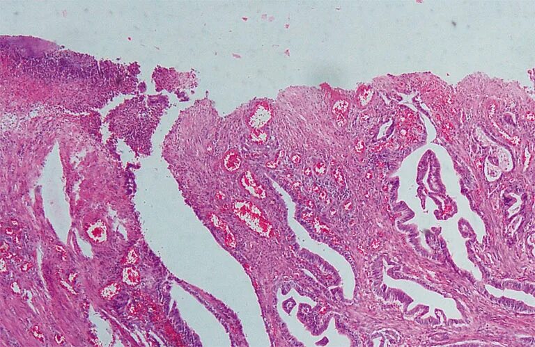
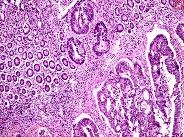
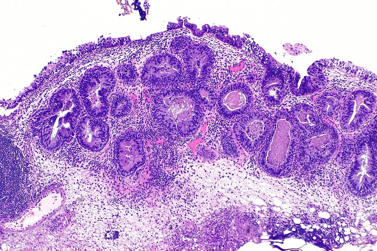
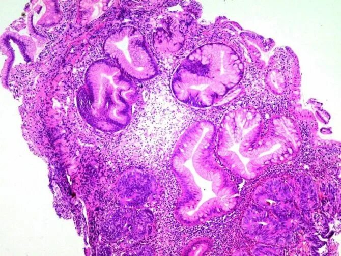
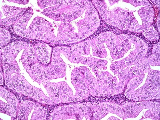
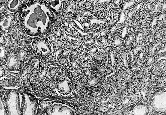
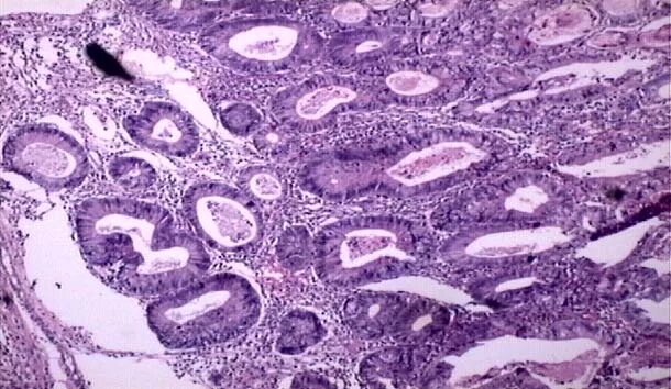
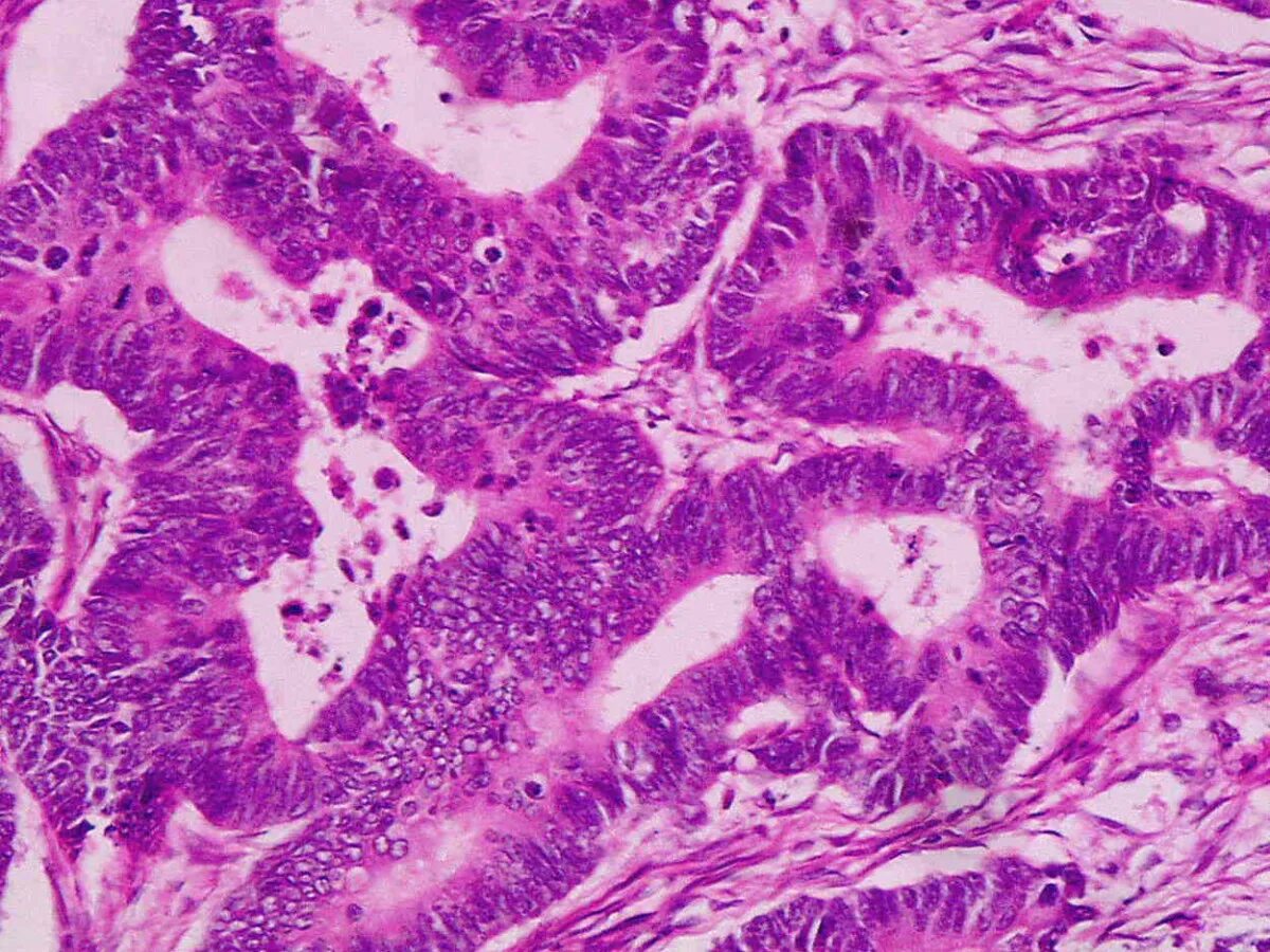
Высокодифференцированная аденокарцинома кишки