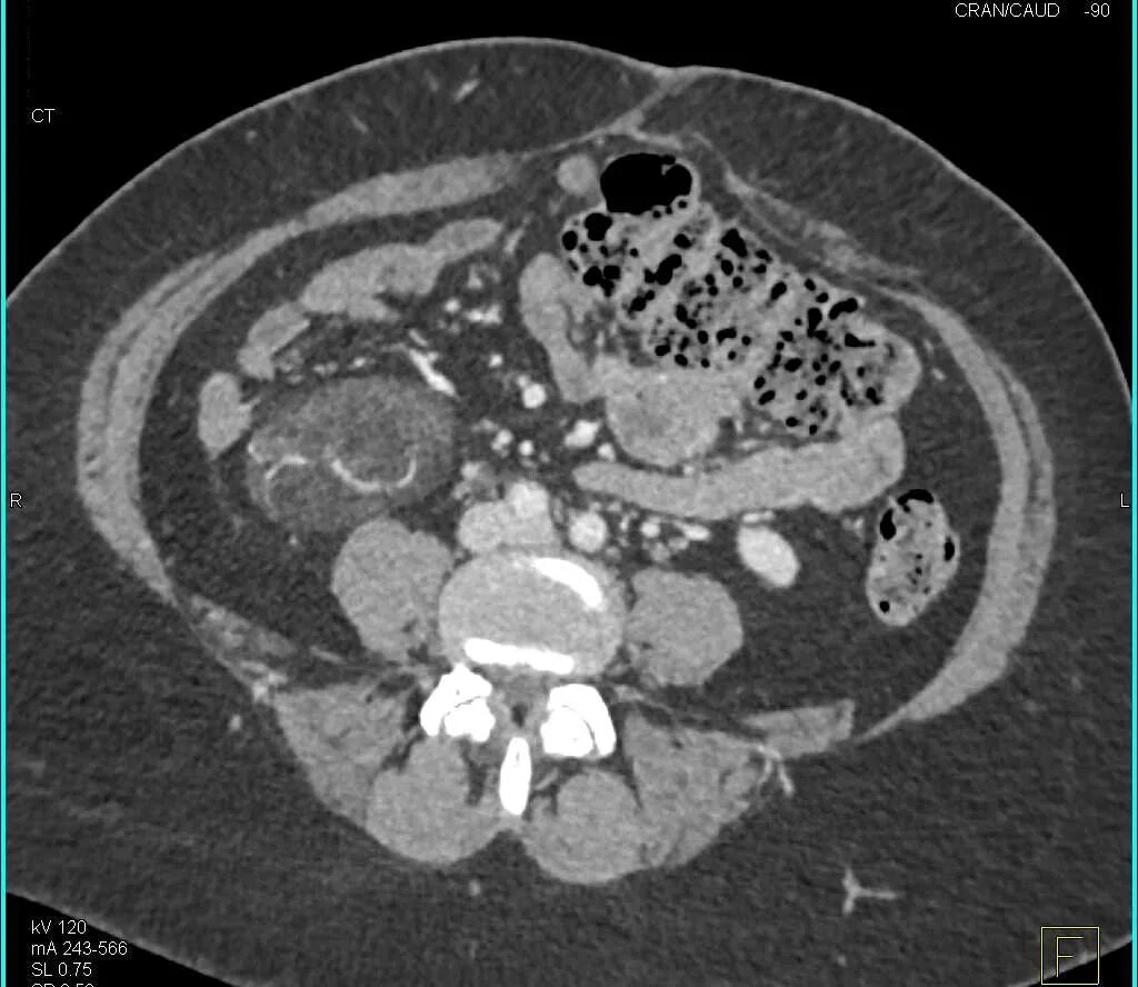
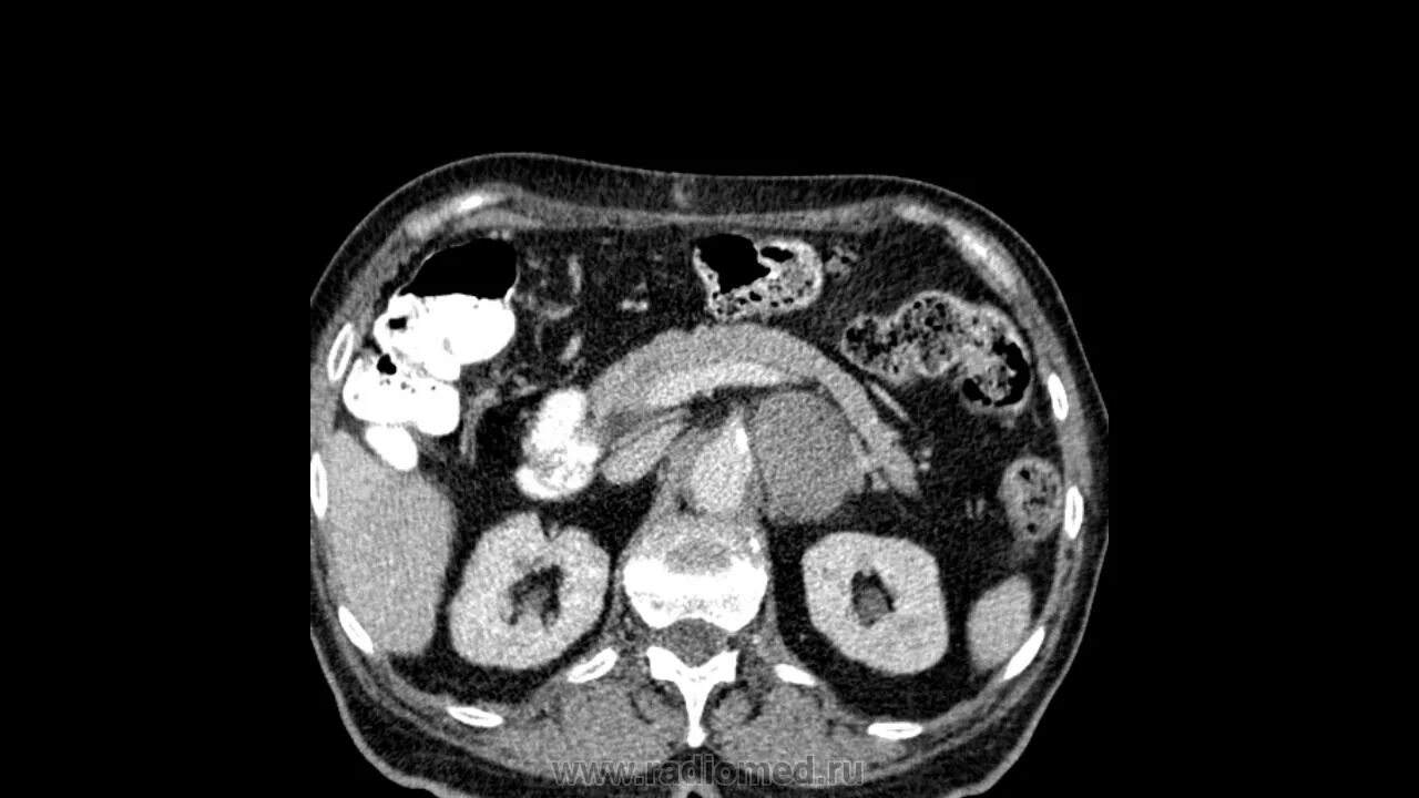
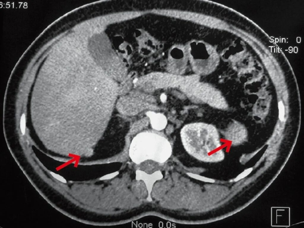
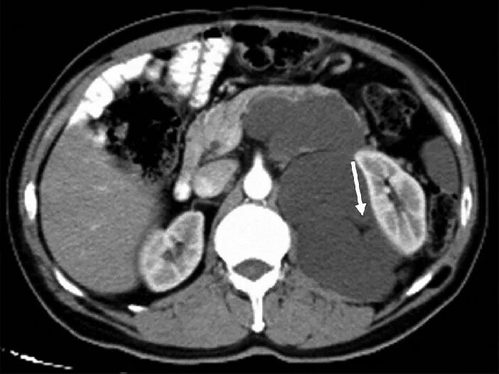
Забрюшинная онкология