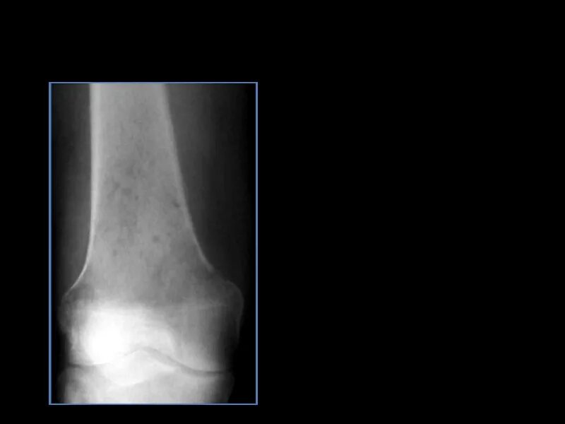
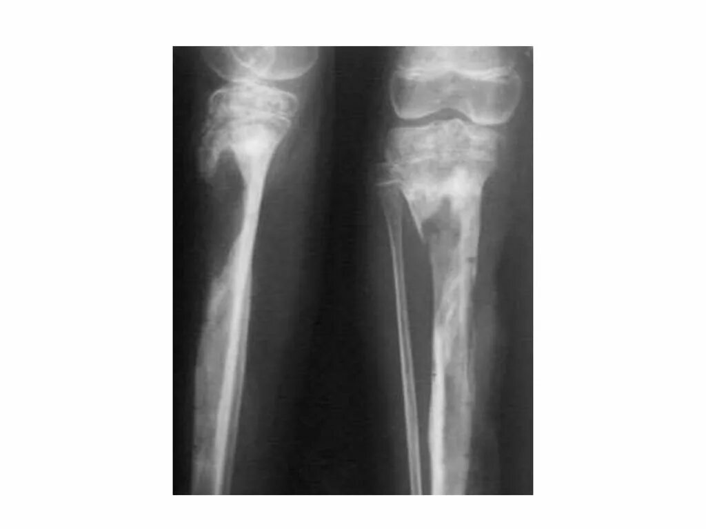
Зона деструкции