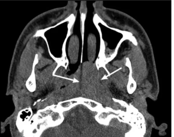
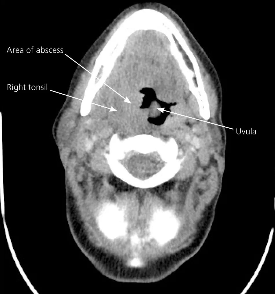
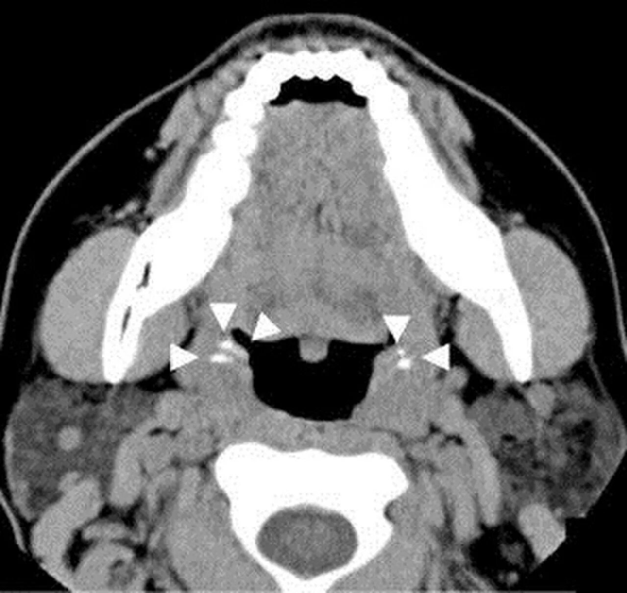
Миндалины на кт